干細胞產品因其獨特的活細胞屬性和復雜的作用機制,在毒理學評價策略中與傳統化學藥物或生物制品有很大差異。關節腔給藥的干細胞產品在非臨床研究中面臨多維度技術挑戰,需結合關節腔解剖特性、細胞生物學特點綜合考量,其中主要考量點包括:動物的種屬選擇、劑量設計、特殊的檢測指標、成瘤性和致瘤性等。
本文基于有濟醫藥既往研究經驗和對相關指導原則的解讀分析,系統梳理了關節腔給藥的干細胞產品的非臨床安全性評估思路和策略,以期為相關領域的研究者提供參考。
一、研究現狀
在國外,已有多款上市的關節腔給藥干細胞產品,例如:2009年Chondrocelect在歐洲獲批上市,是歐洲首個獲批的軟骨修復細胞治療藥物; 2012年Cartistem在韓國獲批,是全球首創的異基因干細胞藥物,用于植入治療關節軟骨缺損;StemOne是由印度藥物管制總局批準的?膝關節骨關節炎(OA)?同種異體細胞療法。
在國內,雖然還沒有關節腔給藥的干細胞產品正式上市,但已有一些產品處于臨床試驗階段,有望填補該領域的空白。例如,西比曼生物科技的異體人源脂肪間充質干細胞注射液(AlloJoin?),是中國第一個獲批進入III期臨床試驗的治療膝骨關節炎的干細胞藥物;上海愛薩爾生物科技有限公司治療膝骨關節炎的間充質干細胞藥品也已進入臨床III期,有望成為國內首批商品化的關節給藥的間充質干細胞藥物。
二、國內的相關指導原則

三、需要開展的非臨床安全性評價項目
1.安全藥理試驗
干細胞及其分化的功能細胞和/或其分泌的活性物質、處方中非細胞成分等可能會對中樞神經系統、心血管系統、呼吸系統等產生影響。根據相關指導原則的要求,在首次臨床試驗前(IND階段),應結合細胞產品的特性、細胞在體內的分布特征評估是否存在安全性擔憂,決定是否進行安全藥理學試驗。
對于膝關節給藥,通常為充分考察干細胞藥物對中樞神經系統、心血管系統、呼吸系統等產生的影響,會考慮采用替代的給藥方式,如靜脈單次注射開展安全藥理試驗。這種給藥方式不但可以考察干細胞在全身暴露情況下的藥理作用,還可以排除由關節腔給藥所引起的相關癥狀(如跛行等)對中樞神經系統評估的干擾。應注意的是,需要結合供試品特性充分評估目標產品是否適合靜脈注射,否則需要采用臨床擬用途徑。
2.一般毒理學試驗
一般毒理學試驗主要用于評價干細胞產品的系統毒性和局部毒性等。應基于干細胞產品的生物學特性、可能的風險因素和安全性擔憂,采用基于風險、科學導向的思路設計方案。
對于膝關節給藥,為充分考察干細胞產品的毒性風險,在試驗中的給藥方式,應最大程度地模擬臨床擬用給藥方式,給藥頻率和試驗期限應能反映臨床使用情況。結合產品的預期存續特點和在動物中的藥代動力學特征設置合適的給藥次數、給藥頻率和試驗期限,并確保試驗中動物暴露于受試物。
膝關節腔給藥的干細胞臨床通常單次用藥,或間隔1個月重復用藥1~2次,因此IND階段通常開展至少2周的重復給藥毒性試驗,以滿足支持給藥期限不超過2周的臨床試驗。通常情況下,即使擬定的臨床給藥期限不超過2周,委托方也會考慮直接開展4周或更長周期的重復給藥毒性試驗,盡可能滿足后續開展更長的臨床試驗或NDA的要求。
3.成瘤性和致瘤性試驗
成瘤性試驗主要用于評價動物接種干細胞產品后,由接種的細胞自身形成腫瘤的可能性。致瘤性試驗主要用于評價干細胞產品通過臨床擬用途徑給予動物后,促使動物的正常細胞轉變為腫瘤細胞的可能性。在開展首次臨床試驗前,應基于干細胞產品的生物學特性、體外處理方式/程度、細胞存續特點、臨床擬用給藥途徑等因素,先初步評估干細胞產品的成瘤性和/或致瘤性風險,再確定評價策略。
對于成瘤性和致瘤性風險較低的成體干細胞產品(如未經基因修飾的MSC),通常應在IND階段至少完成體外成瘤性評價,如體外軟瓊脂克隆形成試驗、核型分析、端粒酶活性檢測等。
對于成瘤性和/或致瘤性風險較高的干細胞產品(例如多能干細胞產品、其他分化程度較低的干細胞產品、藥學和/或已有非臨床研究提示風險較高的產品等),應完成體外和體內成瘤性試驗。若成瘤性試驗出現陽性結果,或在一般毒理學試驗中發現動物來源的癌前病變、可疑癌變時,還應完成致瘤性試驗。
對于擬用于非晚期腫瘤適應癥且風險較低的干細胞產品,通常在NDA前完成體內成瘤性和/或致瘤性試驗。
對于膝關節給藥的干細胞產品,通常會參考《中國藥典》(第三部)的要求,成瘤性試驗多采用皮下給藥的方式。根據最新發布的《人源性干細胞產品非臨床研究技術指導原則》的要求,致瘤性試驗通常采用與臨床擬給藥途徑一致的給藥方式,即膝關節腔注射。
當在動物成瘤性和/或致瘤性試驗中觀察到腫瘤發生時,需進一步確認腫瘤細胞的種屬來源,以明確其是來自于接種的干細胞產品還是來自于受者。目前非臨床評價中通常采用免疫組化的方法進行腫瘤來源確認。
4.遺傳毒性
常規非修飾的干細胞產品通常不需要進行標準組合的遺傳毒性試驗。
5.生殖毒性
對于關節腔給藥的干細胞產品,通常IND階段無需考慮進行生殖毒性評估。因為膝關節腔內注射屬于局部給藥,干細胞主要滯留于關節腔,進入全身循環的比例極低。若無證據表明干細胞或分泌因子進入血液循環,生殖毒性風險可忽略。如果擔憂多次關節腔注射可能提升系統暴露概率,也可在重復給藥毒性試驗中關注生殖器官的病理學檢查結果(如睪丸/卵巢組織切片)。
6.制劑安全性
應根據干細胞產品的特點與臨床應用情況,開展終產品制劑的刺激性和溶血性試驗。
四、試驗中的主要關注點
1.動物種屬選擇
關于毒理學試驗動物種屬的選擇,應基于干細胞產品的風險大小、相關動物種屬/模型的可獲得性等因素綜合分析,總體目標是盡可能最大程度地闡明干細胞產品的安全性特征,為人體安全性提供有價值的預測信息。在可行的情況下,盡量考慮獲得兩種相關動物種屬的非臨床安全性信息。
選擇相關動物時主要但不限于以下因素:
(1)動物對人源干細胞及其分化后細胞的生物學反應與預期的人體反應的相似性;
(2)動物對人源干細胞的免疫耐受性;
(3)動物的解剖學和病理生理學特征與擬定適應癥人群的相似性;
(4)臨床擬用給藥途徑/給藥方式的可行性;
(5)涉及基因修飾的干細胞產品,還應考慮動物對目的基因或基因表達產物的敏感性、表達產物在動物體內的生物學效應。
在毒理試驗之前,通常會開展關節內給藥的藥效學研究,藥效學動物模型可以為毒理試驗的種屬選擇提供參考信息。根據文獻資料,目前關節腔給藥的干細胞產品在非臨床安全性評價研究中,常見的動物種屬包括小鼠、大鼠、兔、猴和犬。

除以上五種常見的動物種屬外,免疫缺陷動物和疾病模型動物也可以在一定條件下選擇使用。
免疫缺陷動物:對于干細胞產品(尤其是異種來源),在免疫正常動物中可能因宿主免疫排斥被快速清除,導致無法觀察其長期存活、遷移、分化及潛在的異常增殖,如致瘤性。所以應用免疫缺陷動物可延長干細胞在體內的存活時間,能夠更精準地評估其在體內的長期生物學行為,這是致瘤性評價的關鍵。但免疫缺陷動物無法替代免疫正常動物評估免疫相關毒性。部分干細胞(如間充質干細胞)具有免疫調節功能,如抑制 T 細胞活性,免疫缺陷動物無法反映其對正常免疫系統的干擾。但是,免疫缺陷動物尤其是重度缺陷模型,如 NOG 小鼠,對飼養環境要求嚴苛,需無菌隔離且價格昂貴,大規模試驗的成本和操作難度明顯高于免疫正常動物。
疾病模型動物:對于膝關節給藥的干細胞產品,需結合產品的作用機制分析是否需要使用疾病模型動物。例如,對于部分在體內容易異常分化的干細胞,或有炎癥因子干擾,可以考慮使用疾病模型動物。首先,疾病模型動物可以模擬膝關節病理微環境,評估特異性風險;其次,可以揭示干細胞與病變組織的相互作用毒性,例如,滑膜炎癥分泌的 IL-6 可能會抑制干細胞的免疫調節功能,甚至誘導其分泌促炎因子,加重局部炎癥。然而,目前動物模型與人類疾病的病理情況還存在一定差異,例如種屬差異,動物模型的軟骨退變速度遠快于人類,需通過延長試驗周期來彌補;炎癥反應差異,如嚙齒類動物的滑膜炎癥以中性粒細胞浸潤為主,而人類骨關節炎以巨噬細胞和T 細胞為主,需通過基因編輯模型動物(如 IL-1β 轉基因小鼠)優化炎癥表型。
綜上所述,每種動物種屬/模型均有其優點和不足,沒有一種動物種屬/模型可全面預測干細胞產品在患者人群中的有效性和安全性。因此,在選擇動物種屬/模型時,應評估所采用的動物種屬/模型與人體的相關性和局限性。若有多種相關動物種屬/模型,且這些動物種屬/模型可提供互補的證據,建議采用多種動物種屬/模型開展研究。
根據既往研究經驗和文獻報道,目前細胞產品治療關節疾病的藥效試驗中最常采用的動物種屬是大鼠和兔,因此大鼠和兔也成為后續毒理學評價(關節內給藥試驗)中優先選用的相關動物種屬。考慮到細胞產品在動物體內的存活時間,對于細胞產品的體內成瘤性和致瘤性風險評估則多采用免疫缺陷小鼠或大鼠。
2.劑量設計
2.1安全藥理
安全藥理學試驗主要對所觀察到的不良反應的劑量反應關系進行研究,因此,藥效學劑量或人擬用的有效劑量是劑量設計重要的參考。一般情況下,低劑量應包括或超過藥效學有效劑量或治療范圍,高劑量會參考重復給藥試驗中產生毒性反應的最低劑量。由于受到干細胞產品的細胞濃度的影響,劑量間距通常有限,因此可設置兩個劑量組進行試驗。
2.2一般毒理學
通常情況下,一般毒理學試驗應保持合適的劑量間距,有助于評估毒性反應-劑量關系的陡峭程度和 I 期臨床劑量遞增方案的設計。高劑量一般期望獲得明顯毒性反應的相關信息,通常為藥效學最高劑量的一定倍數或擬推薦臨床最高劑量的一定倍數。關節腔給藥的最高劑量設置會受到動物關節腔容量/大小和制劑最高濃度的限制,通常選擇最大可行劑量。低劑量的設置可參考藥效學起效劑量或臨床擬用劑量,在保證一定倍數的情況下,確保至少在低劑量下可以獲得NOAEL劑量。由于劑量間距有限,一般毒理學試驗也可設置兩個劑量組進行試驗。
2.3成瘤性和致瘤性
對于成瘤和致瘤試驗的劑量設計,應包含一個最大可行劑量。成瘤性試驗目前更多參考《中國藥典》進行設計,高劑量通常設置為1×107cells/只(細胞濃度5×107cells/mL,給藥體積為0.2 mL)。另外,成瘤性試驗中需要設置陰性對照和陽性對照細胞,以驗證體系的可靠性。如果干細胞中可能殘存有高風險細胞(如來源于iPSC或ESC的MSC細胞),在成瘤性評價中建議增加摻入一定量高風險細胞的供試品組。致瘤性試驗的給藥周期通常和重復給藥試驗一致,致瘤性試驗的高劑量一般為最大可行劑量,在該劑量下,需要確保試驗中大部分動物能夠耐受,并能在給藥后完成至少6個月觀察期;低劑量可在高劑量的基礎上,間隔一定倍數即可,通常設置兩個劑量組進行試驗是可以接受的。
3.關注的檢測指標
除常規觀察指標外,還需結合干細胞產品特點和風險,增加特殊的檢測指標以充分評估其安全性風險。
3.1免疫原性
對于涉及基因修飾的關節腔給藥的干細胞產品,由于其表達的蛋白質與天然產物相比,結構可能發生改變,或基因修飾可能產生非預期的肽/蛋白質等,因此需在非臨床研究階段根據產品的特性和風險評估,考慮是否需要開展干細胞產品的免疫原性研究。
3.2免疫毒性
關節腔給藥的干細胞產品需關注其誘導產生的免疫毒性,由于干細胞來源不同,免疫原性存在顯著差異,例如異體間充質干細胞輸入后,宿主免疫系統迅速識別 HLA 抗原,激活CD4+和CD8+T細胞,釋放穿孔素、顆粒酶等導致干細胞裂解,同時伴隨炎癥因子(如 IFN-γ、TNF-α)釋放,可能引發發熱、組織損傷等毒性反應,因此需采用合適的方法開展免疫毒性研究,通常會在重復毒性試驗中除常規免疫毒性評價外,增加淋巴細胞分型和炎性相關細胞因子的檢測。
3.3細胞分布與殘留
膝關節腔給藥的干細胞產品主要滯留在關節囊中,也可能通過滑膜血管或淋巴系統遷移至全身,需要關注其組織分布和留存情況。
3.4定植分化
干細胞具有一定的分化和遷移能力,若在非靶部位(如肝臟、肺部、骨骼其他部位)異常定植分化,可能引發嚴重安全問題,因此通常在重復給藥試驗中設置衛星組進行定植分化檢查,對細胞分布陽性的組織,采用免疫組化的方法進行定植研究。
五、案例分享
有濟醫藥開展的膝關節腔注射臍帶間充質干細胞注射液部分毒理研究及主要結果:
試驗項目:大鼠重復毒性試驗
試驗動物:SD大鼠
供試品:人臍帶間充質干細胞
給藥方式:雙側膝關節腔給藥,50 μL/側,Q2W,給藥4周,恢復4周
試驗結果:
(1)臨檢:高劑量組雌雄性動物NEUT絕對計數及比例升高,雄性動物EOS絕對計數及比例升高。
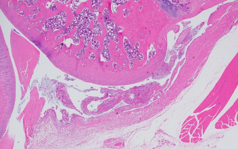
(2)組織病理學:給藥期結束,高劑量組動物給藥部位可見關節囊炎癥,停藥后有恢復趨勢。
(3)主要毒性反應:僅局限于給藥局部組織刺激性和相關炎癥細胞變化。

高劑量組給藥部位:關節囊炎癥
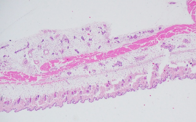
試驗項目:兔重復毒性試驗
動物種屬:新西蘭兔
供試品:人臍帶間充質干細胞
給藥方式:雙側膝關節腔給藥,200 μL/側,Q2W,給藥4周,恢復4周
試驗結果:
(1)臨檢:高劑量組雌雄動物NEUT、MONO、EOS絕對計數及比例升高。
(2)組織病理學:給藥期結束,高劑量組動物給藥部位可見關節囊炎癥,停藥后有恢復趨勢。
(3)主要毒性反應:僅局限于給藥局部組織刺激性和相關炎癥細胞變化。

高劑量組給藥部位:關節囊炎癥
試驗項目:成瘤試驗
試驗體系:NPG小鼠
供試品:人臍帶間充質干細胞
給藥方式:單次皮下注射
試驗結果
(1)試驗體系:陽性對照組全部動物給藥部位Hela細胞瘤均呈進行性生長;陰性對照組動物未見腫瘤形成或轉移,說明本試驗體系建立成功。
(2)組織病理學:僅陽性對照組給藥部位可見Hela細胞瘤;陰性對照和供試品各劑量組動物均未見腫瘤形成和轉移。
結論:供試品在體內無成瘤性風險。

高劑量組給藥部位:未見腫瘤形成

高劑量組肺臟:未見腫瘤形成
結語
立足于深厚的經驗與完善的技術平臺,有濟醫藥已構建起覆蓋干細胞產品非臨床藥代、藥效和毒理研究的全鏈條服務體系。公司技術團隊憑借二十余年的深厚積累,已完成對人臍帶間充質干細胞(hUC-MSCs)、脂肪組織來源間充質干細胞(AD-MSCs)、骨髓間充質干細胞(BM-MSCs)等多種干細胞產品的IND申報評價。未來隨著技術的不斷進步和研究的深入,將會有更多創新且有效的干細胞治療產品問世。同時,有濟醫藥也將持續關注并優化干細胞治療產品的非臨床研究策略,以幫助這些產品的安全性和有效性得到充分驗證,為全球患者帶來更多的希望和福音。

